本文へスキップ

ダイレクトボンディング/ダイレクト コンポジット レジン/CR充填/ダイレクトCR 名古屋

TEL052-837-5255

〒467-0064 名古屋市瑞穂区彌富通3-45-5

スピード審美歯科治療

最新のスピード審美歯科治療 ※治療回数は、最短1回です。但し、カウンセリング当日の施術は不可です。
なお、ご希望と状態によっては数回ご来院頂く必要がありますので、まずはカウンセリングにて治療計画を立てさせて頂きます。

ダイレクト・コンポジット・レジン [ Direct Composite Resin(DCR) ] 修復とは?

健康な歯をほとんど削らないMI治療(Minimum Intervention = 最小の侵襲という、「可能な限り歯を削らない最小限の治療で最大限に改善する」という概念に基づく治療)の概念に基づく、審美的な歯の修復を、コンポジットレジン(CR)にて行うことです。

[ 特徴 ]

  • 健康な歯をほとんど削らない(MI治療)
  • 治療回数が少ない(※カウンセリング当日の施術は不可。)
  • メンテナンスで長期的に維持可能
  • 歯の形・色・軽度の歯並びを修復

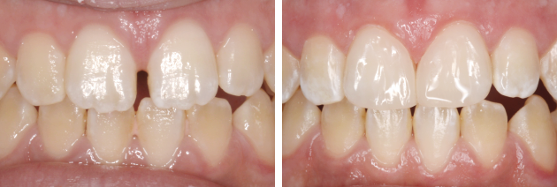
前歯(上顎)の隙間

ダイレクト コンポジット レジン(DCR)による前歯治療

ダイレクト コンポジット レジン(DCR)による前歯治療

ダイレクトCRで、前歯の隙間(すきっ歯)を治療

セラミッククラウンやラミネートべニアと異なり、歯の削る量が極めて少ないです。
歯の厚みが気にならないのであれば歯を全く削らずに修復することも可能です。
この場合、治療後に元の歯に戻すことも可能です。

前歯(下顎)の隙間

審美歯科 すきっ歯

ダイレクトCRで、前歯の隙間(すきっ歯)を治療

セラミッククラウンやラミネートべニアと異なり、歯を全く削らずに修復することが可能です。
この場合、治療後に元の歯に戻すことも可能です。

前歯(下顎)の隙間・歯の形

審美歯科 すきっ歯

ダイレクトCRで、前歯の隙間(すきっ歯)と歯の先端の形を修正

ダイレクトCRで、前歯の隙間と歯の形を綺麗に整えました。健康な歯を削ることなく、わずか1回で完了しました。

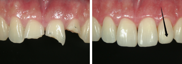
前歯の破損

ダイレクト コンポジット レジン(DCR)による前歯治療

ダイレクトCRで、欠けた前歯を修復

セラミッククラウンやブリッジでの治療と異なり、歯の削る量が極めて少なく、歯に強力に結合し、歯とほぼ同じ色調・形態・硬さを再現することが可能で、仕上がりも美しいです。

乱杭歯の修正

前歯の変色歯

ダイレクトCRで、変色歯・虫歯・歯並びを治療

保健治療で入れたコンポジットレジン(CR)の変色と虫歯、ガタガタの歯並び(乱杭歯)を歯ぐき整形で歯ぐきのラインを整えてから、ダイレクトCRで治療しました。

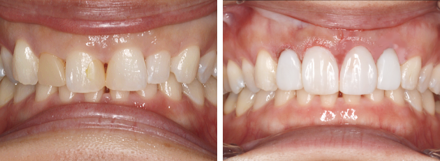
前歯の変色

ダイレクトボンディング

ダイレクトCRで、前歯の変色歯とガミースマイルを修正

歯が小さくてガミースマイル、そして前歯の変色が悩みとの事で、歯ぐき整形でリップラインを整え、ダイレクトCRで変色歯を修正しました。

歯周病による歯と歯の隙間

歯周病による歯と歯の隙間の治療

ダイレクトCRで、歯周病による歯と歯の隙間を修正

歯周病治療後、腫れていた歯ぐきが健康な状態に戻たのですが、歯と歯の間に隙間ができてしまったため、ダイレクトCRで歯の隙間を修復しました。加齢による歯と歯の隙間も同じように修復することが可能です。

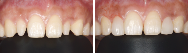
円すい歯(小さなとがった歯)の形を整える

歯周病による歯と歯の隙間の治療

ダイレクトCRで、前歯左右2番の円すい歯(小さなとがった歯)を修正

円すい歯(小さなとがった歯)を、一切削ることなく、長方形に近い正常な歯の形にダイレクトCRで修正しました。バランスの取れた綺麗な前歯になりました。

変色歯かつ奥まった位置の歯を整える

ダイレクトボンディング 名古屋

ダイレクトCRで、前歯左右2番の変色歯を修正

破折と神経を抜いたことで変色してしまった前歯2本を綺麗な白い歯に修正するとともに、奥まっていたため、歯並びも一緒に修正しました。

変色歯かつ奥まった位置の歯を整える

ダイレクトボンディング 名古屋

ダイレクトCRで、すきっ歯と歯の白濁(白い斑点)を修正

ホワイトニングで全体の歯を白くしてから、ダイレクトCRを行いました。歯を削ることなく歯並び・歯の形・歯の色を綺麗に修正しました。

従来のダイレクトCRの素材である『コンポジットレジン(CR)』との違い

 歯科技術及び歯科材料は日進月歩で、最先端技術のコンポジットレジンもその1つです。

 従来のコンポジットレジン(CR)は、素材となっているフィラー(粒子)のサイズが大きいため、時間の経過ととも艶感(滑沢性)が失われてしまします。

 一方、最新のコンポジットレジン(CR)は、フィラー(粒子)のサイズをナノサイズと極小にすることができたため、艶感(滑沢性)が維持されやすく、また変色もしにくくなりました。

 この先進技術を取り入れたハイレベルな最新のコンポジットレジン(CR)を採用している歯科医院はまだ少ないです。

 歯を大きく削りたくない方や、手術に抵抗を感じる方、よりリーズナブルに美しい歯を手に入れたい方は、最新のコンポジットレジン(CR)での審美修復を行っている当院へお気軽にご相談ください。

治療後のメンテナンスについて

 国家資格を保有する歯科衛生士は、口腔清掃の専門家です。
 その歯科衛生士によるプロフェッショナルケアでは、毎日のセルフケアでは除去できない汚れを除去することができます。
 治療後に、長期に渡り綺麗で健康な歯を維持するために、定期メンテナンスにお越しください。

 定期メンテナンス →

治療費

 ダイレクトCRは自費治療となります。

 ダイレクトCRの料金表 →

認定証

先進技術を取り入れたハイレベルなコンポジットレジン修復の講習会に通い認定書を取得。

う蝕制御学分野 田上順次教授/田代 浩史