本文へスキップ

愛知県名古屋市瑞穂区のてらもとファミリー歯科「ホワイトニング専門サイト」

TEL052-837-5255

〒467-0064 名古屋市瑞穂区彌富通3-45-5

ホワイトニング

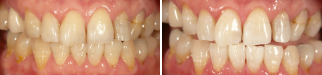
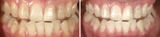
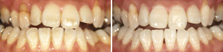
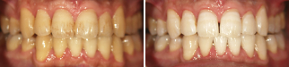
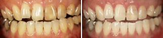
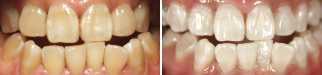
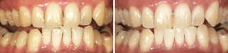
ホワイトニングの症例写真

ホワイトニング後の歯の色を加工した写真が氾濫している中、当院では歯の色を加工して白くなったように見せることは一切行ておりません。リアルな術前術後写真です。

施術前 → 施術後

ホワイトニングをされた方は歯が白くなると同時に艶も出て笑顔がグッと明るくなりました。

ホワイトニング 名古屋市

ホワイトニング 名古屋市

ホワイトニング 名古屋市

ホワイトニング 名古屋市

ホワイトニング 名古屋市

ホワイトニング 名古屋市

ホワイトニング 名古屋市

ホワイトニング 名古屋市

ホワイトニング 名古屋市

ホワイトニング 名古屋市

ホワイトニング 名古屋市

ホワイトニング 名古屋市

ホワイトニング 名古屋市

ホワイトニング 名古屋市

ホワイトニング 名古屋市

ホワイトニング 名古屋市

ホワイトニング 名古屋市

ホワイトニング 名古屋市

ホワイトニング 名古屋市

ホワイトニング 名古屋市

ホワイトニング 名古屋市

ホワイトニング 名古屋市

ホワイトニング 名古屋市

ホワイトニング 名古屋市

ホワイトニング 名古屋市

ホワイトニング 名古屋市

ホワイトニング 名古屋市

ホワイトニング 名古屋市

ホワイトニング 名古屋市

ホワイトニング 名古屋市

ホワイトニング 名古屋市

ホワイトニング 名古屋市

ホワイトニング 名古屋市

ホワイトニング 名古屋市

ホワイトニング 名古屋市

ホワイトニング 名古屋市

ホワイトニング 名古屋市

ホワイトニング 名古屋市

ホワイトニング 名古屋市

ホワイトニング 名古屋市

ホワイトニング 名古屋市

ホワイトニング 名古屋市

ホワイトニング 名古屋市

ホワイトニング 名古屋市

ホワイトニング 名古屋市

ホワイトニング 名古屋市

ホワイトニング 名古屋市

ホワイトニング 名古屋市


予約について

お電話 052-837-5255 にてご予約ください。
ご質問がある方は、お気軽にメール→にてご相談ください。院長より直接ご返答致します。

ご来院前にホワイトニングの注意事項→をご一読ください。